CURSO DE ODONTOLOGÍA RESTAURADORA ADHESIVA

SOLUCIONES A PACIENTES CON NECESIDADES ESTÉTICAS Y FUNCIONALES

Valladolid – Pendiente de concretar fechas

MÓDULO 1

Próximamente.

MANEJO RESTAURADOR ESTÉTICO Y FUNCIONAL DE CASOS CON DESGASTES

Teoría

  • Análisis facial, análisis de la sonrisa proporciones y armonía.
  • Conceptos funcionales de una rehabilitación estética.
  • Diseño digital y planificación estética de una rehabilitación: utilización de software para generar restauraciones estéticas.
  • Mock up emocional vs mock up funcional.
  • Técnicas de recorte gingival, alargamientos coronarios.
  • Ortodoncia pre restauraciones, brackets, alineadores y micro tornillos.
  • Estrategia aditiva minimamente invasiva: técnica incremental y aumento de dimensión vertical: restauraciones transicionales.

Práctica

  • Encerado digital smile creator y smile cloud.
  • Técnica de composites inyectados y estampados.
  • Provisionales

MÓDULO 2

Próximamente.

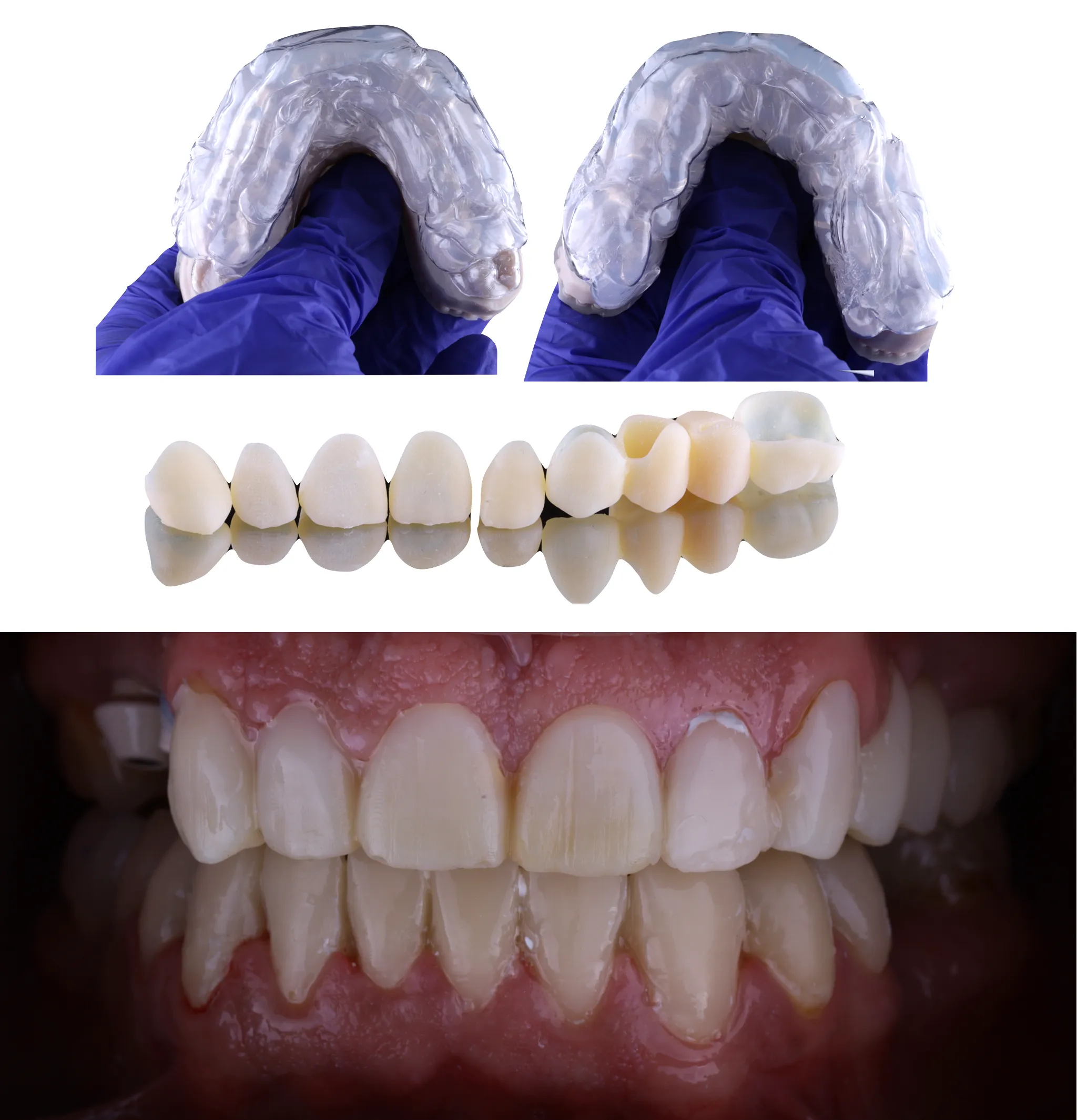
PREPARACIÓN DE CARILLAS E INCRUSTACIONES

Teoría

  • Tipos de restauraciones, tipos de preparaciones.
  • Técnica de tallado horizontal.
  • Técnica de tallado vertical.
  • Técnicas de retracción y técnicas de impresión digital y convencional.
  • Materiales de restauración: cerámicas feldespáticas, vítreas reforzadas, circonio, materiales híbridos y composites.

Práctica

  • Realización de llaves de silicona y confección de un mock up.
  • Tallado de carillas y utilización de los índices de tallado.
  • Tallado de incrustaciones.

MÓDULO 3

Próximamente.

COLOCACIÓN, AISLAMIENTO Y CEMENTADO DE RESTAURACIONES ADHESIVAS

Teoría

  • Adhesión y cementado: técnicas y materiales.
  • Aislamiento: relativo y absoluto.
  • Cementado de carillas y cementado de incrustaciones.

Práctica

  • Aislamiento de:
    • un diente
    • un sector
    • arcada completa
    • uso de clips modificados
    • anudar para aislar
  • Cementado de carillas.
  • Cementado de incrustaciones.
  • Enmascarar una fractura y un diente oscuro con composites directos, técnica de estratificación.

CURSO DE ODONTOLOGÍA
RESTAURADORA ADHESIVA

SOLUCIONES A PACIENTES CON NECESIDADES ESTÉTICAS Y FUNCIONALES
Valladolid – Pendiente de concretar fechas

FECHAS

Pendiente de concretar fechas.

HORARIO

Pendiente de concretar.

PRECIO

2.400 €

PRECIO MÓDULO

900 €

RESERVA TU PLAZA O APÚNTATE AL CURSO