CHARLA 12 DE JUNIO DE 2021: ORTO-PRÓTESIS
Dr. Álvaro Ferrando
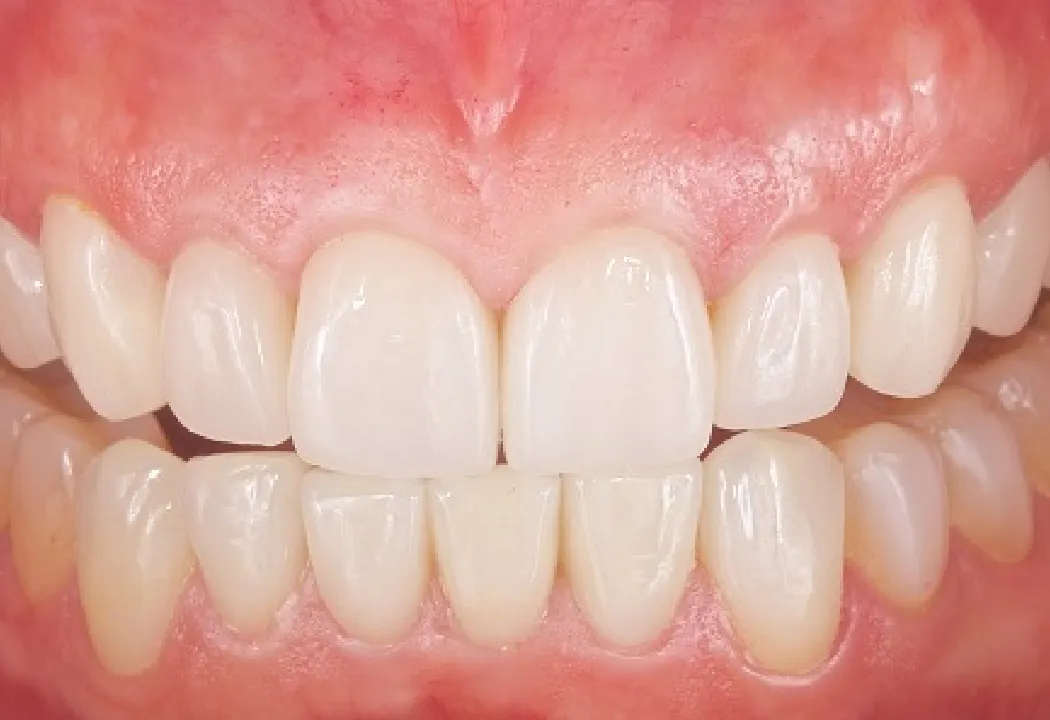
“Protocolo rehabilitador en pacientes ortodónticos complejos”
Los pacientes con desgastes dentarios y necesidades ortodónticas requieren un abordaje pormenorizado para llevar a cabo con éxito los objetivos de tratamiento estéticos y funcionales. La anticipación en la dotación de forma y tamaño dental resulta fundamental y puede alterar definitivamente el producto de nuestra rehabilitación final. Los objetivos de mi charla serán:
1. Identificar la complejidad de los casos multidisciplinares desde el diagnóstico.
2. Establecer la temporización de las distintas fases de tratamiento.
3. Proponer indicaciones concretas de restauración protésica antes, durante y después de la ortodoncia.
Curriculum Vitae Dr. Álvaro Ferrando Cascales
Licenciado en Odontología. Universidad de Murcia 2000/05.
Doctor en Odontología. Universidad de Valencia 2020.
Profesor coordinador de grado -5º curso- “Odontología Estética y Adhesiva”. Universidad Católica San Antonio de Murcia (UCAM).
Profesor invitado Máster de Odontología Estética Adhesiva y Mínimamente invasiva de la Universidad de Valencia desde 2014.
Profesor invitado Máster Universitario en Implantología Oral de la Universidad Miguel Hernández (Alicante) desde 2015.
Premio Gaceta dental mejor caso clínico 2017.
Premio Gaceta dental mejor artículo de investigación 2020.
Ponente de cursos de formación contínua en el ámbito de la rehabilitación oral adhesiva en el Centro de Estudios Odonto-Estomatológico de Valencia Colegios profesionales de Murcia, Alicante, Salamanca y A Coruña
Ponente de 3 reuniones conjuntas: SEPES-COEC Gerona y SEPES-Colegio de Dentistas de Sevilla y SEPES- Colegio de Las Palmas.
Ponente mesa redonda. “Ortodoncia y Estética en el 64 congreso de la SEDO”. Tarragona 2018.
Premio Festética en la categoría de carillas de porcelana 2017 y 2018.
Ponente Congreso Mundial de Estética Dental SEPES / IFED. Barcelona 2019.
Presidente GEMO 2016-18.
Asistencia a Cursos Intensivos y modulares de odontología restauradora estética y rehabilitación oral en el ámbito nacional e internacional.
Dr. Carlos Oteo Calatayud. 2007.Dr. Iñaki Gamborena. 2008.Prof. Dr. Newton Fahl r, CD, MS. Curitiba (Brasil). 2009. Dr. Darío Adolfi. Sao Paulo (Brasil)2010. Dr. Anibal Alonso. Barcelona. 2006 Dr Tiziano Tealdo. Valle Belbo (Italia). 2011, Dr. Sidney Kina. Sumaré (Sao Paulo. Brasil).…
Publicaciones de casos clínicos en revistas nacionales, internacionales y en formato online.
Práctica privada con dedicación exclusiva a odontología restauradora y estética en Clínicas Ferrando. www.clinicaferrando.com.

